Rörelsekoll/ -undersökningar

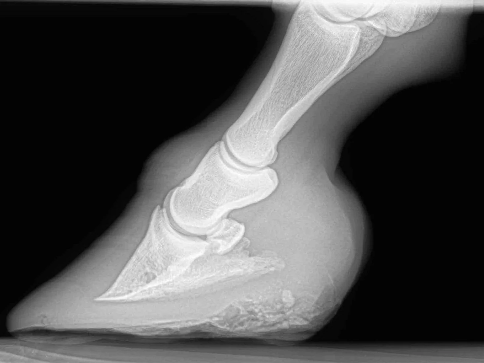
Vi undersöker hästar som visar problem i sitt rörelsesystemet . Vi har hjälp genom Röntgen och Ultraljud som bildgivande diagnostik.

Eftersom det inte alltid är lätt för vårt öga att ser hältorna och vilket ben som visar hältan, använder vi med Sleip- Appen som komplement för en bättre förståelse var ursprungsproblemet kan sitta.

Vi har följande utrustning för bildgivande diagnostik:

  • Röntgen

  • Ultraljud

Bra att veta inför en Rörelsekoll/ -undersökningar .

Detta kan vara bra att veta inför ert besök.